Products

Services

Education

Store

Contact

Company


Global Headquarters
2300 Riverchase Center
Birmingham, AL 35244
USA

tel: 888.246.8338
tel: 205.967.7880
fax: 205.870.0304

BioHorizons Canada
21 Amber Street, Unit #6
Markham, Ontario L3R 4Z3
Canada

tel: 866.468.8338
fax: 905.944.1894

BioHorizons Chile, S.A.
Av. Manquehue Norte 1337 Office 31
Vitacura
Santiago
Chile

tel: +56 (2) 23619519
fax: +56 (2) 361.9521

BioHorizons Italia Srl
Via Ettore Cristoni, 88
40033 Casalecchio di Reno (BO) Italy

numero verde +800.063.040
tel. +39.051.59.07.00
fax +39.051.57.61.06

BioHorizons México
Av. Insurgentes # 64 colonia Juarez
Torre B oficina 407
Delegación Cuauhtémoc
CP 06600 CDMX
México

tel. 800.953.0498
tel. 011.52.5511638675

Spanish Office
BioHorizons Spain
Calle Oruro, 9
28016 Madrid,
Spain

tel: +34.91.713.10.84
fax: +34.91.355.83.75

BioHorizons Camlog UK & Ireland
Reflex
Cain Road
Bracknell
Berkshire RG12 1HL
United Kingdom

tel: +44 (0)1344 752560

NovoMatrix™ RTM

NovoMatrix

NovoMatrix Reconstructive Tissue Matrix

NovoMatrix Reconstructive Tissue Matrix

NovoMatrix is an acellular dermal matrix consisting of tissue-engineered porcine material. NovoMatrix is a breakthrough in xenogenic processing ensuring a structurally intact, undamaged scaffold. The proprietary tissue processing maintains tissue integrity and supports tissue regeneration by allowing rapid revascularization, fibroblast repopulation and a minimal inflammatory response - ultimately being transformed into host tissue for a strong, natural repair.1,2

  • supports a positive immunologic response and regeneration as seen in primate models3
  • site-specific orientation is not required
  • pre-hydrated, ready-to-use
  • consistent thickness of 1mm
  • controlled source for a more predictable product

NovoMatrix Reconstructive Tissue Matrix

applications include4

  • guided tissue regeneration for root coverage
  • localized gingival augmentation to increase keratinized tissue around teeth
  • alveolar ridge reconstruction for prosthetic treatment
NovoMatrix

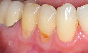
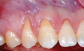
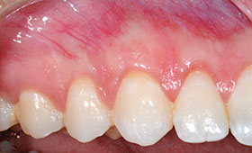
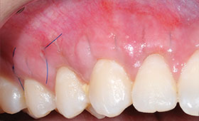
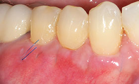
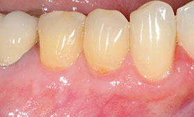
NovoMatrix RTM cases

root coverage

Pre-op

1 week post-op

8 months post-op

30 months post-op

NovoMatrix RTM case images courtesy of Dr. Edward P. Allen, Dallas, Texas

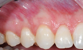
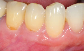
root coverage

Pre-op

2 week post-op

6 month post-op

36 month post-op

NovoMatrix RTM case images courtesy of Dr. Edward P. Allen, Dallas, Texas

literature

  1. Host response to human acellular dermal matrix transplantation in a primate model abdominal wall repair.
    Xu H, Wan H, Sandor M, et al.
    Tissue Eng Part A 2008;14(2):2009-2019.
  2. Extracellular wound matrices: a novel regenerative tissue matrix (RTM) technology for connective tissue reconstruction.
    Harper JR, McQuillan DJ.
    Wounds. 2007;19(6):163-168.
  3. Relevant in vitro predictors of human acellular dermal matrix-associated infl ammation and capsule formation in a nonhuman primate subcutaneous tissue expander model.
    Sandor M, Leamy P, Assan P, et al.
    Eplasty. 2017;17:e1-e21.
  4. Reference manufacturer's Instructions for Use (IFU) package insert.
Not available in all countries.