BioHorizons knows this time is difficult for our industry, and our goal is to provide quality resources and education on topics that will be beneficial to your practice throughout your post-COVID-19 recovery. From winning back patient trust to increased hygiene standards in the dental office, gain valuable insights to accelerate your bounceback to the new normal.
Every industry is interested in finding real solutions, and dentistry is no different. The dental industry must constantly improve its technology to provide the highest standard of care for patients.
BioHorizons has always known this. Since 1994, we have focused on three core values: science, innovation and service. This focus has allowed the company to develop new products and technologies since its beginning. Even with the shutdown caused by COVID-19 in 2020, BioHorizons engineers were busy researching and testing new ideas. Below are just a few solutions we offer for easy integration into any practice.
Allows you to:
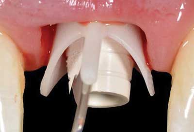
With our subsidiary, Vulcan Custom Dental, BioHorizons offers a complete “case in a box” solution through Guided Restorative Solutions (GRS).
GRS combines the efficiency and predictability of guided surgery with immediate, provisional prosthetics. GRS conveniently delivers everything needed for the case, including BioHorizons implants. Key features include:
Treatment planning by trained clinicians
Authentic BioHorizons implants and components
Fast, five-day turnaround
Custom healing abutments or custom temporary restorations for developing and maintaining tissue position
Achieve better esthetic outcomes and fewer restorative visits with Guided Restorative Solutions.

Allows you:
To avoid grafting and ridge augmentation when bone volume is limited in the posterior
A more controlled, precise surgical procedure
Build on GRS with guided surgery designed specifically for our Tapered Short dental implants. Tapered Short implants can be used as an expedited treatment option when bone volume is limited in the posterior because it allows doctors to avoid grafting and ridge augmentation.
Guided surgery allows for a more controlled and precise surgical procedure by utilizing digitally designed guides to replicate the planned implant placement. Tapered Short guided uses a new keyless design, which further simplifies the workflow for the user.
Tapered Short implants feature aggressive threads, short lengths and proprietary Laser-Lok® surface treatment. The Tapered Short Guided Surgery system features keyless instruments, streamlined workflow, irrigation flutes, freehand and guided use.
Problem: Complex protocols and delayed treatment times are often required for cases that feature limited bone in the posterior. Most implant companies don’t offer guided solutions for short implants.
You'll enjoy:
Treat patients with reduced chair time.
Greater accuracy of implant placement.
Long-term success in cases that were previously a complicated indication.
Allows for:
Most healing abutments are round, but a patient's sulcus is usually an irregular shape. Stock components don't typically conform well to anatomy, and custom options are high-cost for the abutment and technology required for CAD/CAM.
Key features:




These three technologies are just three of the ways we allow dentists to provide the highest standard of care for patients. For more on our comprehensive line of solutions, including biologics and prosthetics, visit biohorizons.com/products.
More states are allowing dental offices to give the COVID-19 vaccine to patients. The American Dental Association (ADA) created a map to provide daily updates on vaccine allocation and administration details. The ADA continues to advocate for states to allow their dentists "to improve the public vaccination rate." To learn more about the vaccine, including clinical considerations, visit cdc.gov.
Find your state.
How to Plan Financially with COVID-19, PPP Forgiveness & Taxable Information
Part 2: Making Sense of Today's Decisions Impacting Tomorrow
In late December, the Economic Aid to Hard-Hit Small Businesses, Nonprofits, and Venues Act (Economic Aid Act or EAA) became law. Although most of the news surrounding the EAA was focused on the Second Draw PPP or stimulus checks, it also brought changes that will impact the Employee Retention Credit and small businesses tax liability in 2020 and 2021.
In this webinar, Stern will education attendees on:
The Henry Schein COVID-19 Resource Center now includes a section on the new vaccine. As dentists, optometrists and other specialists push for permission to administer the vaccine, visit this page for frequent updates about key facts and what it means for dental professionals.
Learn more
As COVID-19 cases surge in California, the state issued a waiver to allow dentists there to give patients the new vaccine, which was recently authorized by the U.S. Food & Drug Administration via Emergency Use Authorization (EUA).
According to Business Insider, the state had vaccinated about 1 percent of its population as of January 4. The state was given 1.9 million doses of the vaccine but had only distributed about 450,000 doses as of January 4.
Read now
This year has been unlike any other, filled with adversity and uncertainty. Although practice doors are open again, doctors are now forced to navigate a new financial landscape—littered with new legislation surrounding relief programs and the tax implications related to receiving these funds. In this content-rich webinar, Cain Watters & Associates Partner and CPA Mason Stern will help you understand the financial impact of 2020 on both your practice and personal finances. He will cover tax strategies to improve cash flow, plus the short- and long-term benefits of various investment environments. He will discuss the current state of the Payroll Protection Plan forgiveness, HHS Provider Relief Funds and FFCRA.
Watch now: COVID-19 Legislative Updates - Nov 24, 2020
BioHorizons created TeethXpress magazine to help you educate prospective and existing patients about dental implants and regenerative treatment. With more than 20 real patient testimonials, this 68-page, high-quality publication combines relatable stories, before/afters, beautiful graphics and simplified explanations so patients can easily grasp the information. An educated patient is more likely to follow through on treatment recommendations, increasing case acceptance.
New content reassures patients that the dental office has always been safe and is now even safer. To further put patients at ease, magazines come individually wrapped. And not only is TeethXpress magazine extremely informative — helping answer many of their questions related to dental implant treatment and the benefits of the services you provide — it is also entertaining! With articles about celebrities with dental implants and smile makeovers, patients will enjoy reading about all the life-changing benefits dental implants can provide while simultaneously gaining a better understanding of how the process works and the many reasons they should say "yes" to your treatment solutions!
Take advantage of a 50% savings good through September 15th! Order today using promo code EDUCATE.
Purchase
We believe that our business is ensuring the health of your business in every way. As the COVID-19 pandemic evolves and healthcare offices begin to reopen, BioHorizons field-based team members are looking forward to seeing you in person soon — and safely. To that end, we have developed the following guidelines for our field team to follow.
Many healthcare providers may find telehealth to be an effective method of caring for patients as society recovers from COVID-19. The American Dental Association (ADA) released guidance to help dental practices code and bill for these appointments. Now, the association has updated the Frequently Asked Questions portion of this guidance. In this section, the ADA defines teledentistry and discusses how it can be conducted. Also included are questions and answers about various communications technologies such as Skype and Facebook Live in addition to information about insurance claims.
Learn more.
Aerosols are routinely created by dental procedures. In the aftermath of COVID-19, dentists may need to reconsider their infection control measures to ensure they are adequate in preventing the spread of various illnesses. In this article, Dr. Rella Christensen of the Clinicians Report Foundation addresses common concerns expressed by dentists.
Learn more.
As governments around the world begin to loosen restrictions put in place in response to the COVID-19 pandemic, many doctors are reopening or planning to reopen their practices. We know you are naturally looking forward to the day when your practice can resume providing patients with your full range of your services, and BioHorizons intends to be there for you throughout the process, just as we always are.
Join us for a complimentary webinar series with industry experts to discuss ways to accelerate the recovery of your practice.
The U.S. federal government created programs that offered loans through the Small Business Administration, but states also created their own programs. Qualifications for these programs vary by state. Use this listing to find out what is available in your state.
The Federal Communications Commission (FCC) currently limits its COVID-19 Telehealth Program to healthcare providers, but the American Dental Association (ADA) wants that to change. The ADA asked the agency to allow dentists entry into the initiative since many dentists face economic hardships with utilizing teledentistry to screen patients because of technology barriers. Screening patients via phone, text or video conference can help health dentists determine if the patient’s issue is an emergency and requires a visit to the office.
As governments around the world start to relax restrictions intended to flatten the curve, we appreciate that as a healthcare practitioner, you are beginning the process to reopen your practice and treat patients with your full range of your services. BioHorizons is there for you throughout the process, just as we always are.
This complimentary webinar series features industry experts discussing ways to accelerate the recovery of your practice.
Session 1: Practice & Patient Financial Considerations includes discussion on the following items and how they affect your practice:
States are addressing the novel coronavirus crisis in different ways. From laws that require facemasks to be worn in public places to stay-at-home orders, find out what requirements you and your business are subject to.
Dentists can take advantage of Henry Schein’s new Thrive Practice Recovery Program to help get back to full operations more quickly. The program includes a cost-effective suite of solutions that include reconnecting with patients and accessing financial services.
The program offers a three-phase approach to guide practice readiness and a curated set of solutions ranging from practice safety and preparation, new protocol implementation, patient communications and financial assistance, among other options. It is available with all payments deferred for 90 days and the option to renew some program components after the three-month program ends. In addition, many solutions are available for purchase separately.
The Levin Group outlines five steps you can follow to get your practice back on track after the effects of the novel coronavirus. It all starts with developing an action plan and measuring each action item. Other important pieces are maintaining a strong team and streamlining expenses.
The American Dental Association (ADA) offers guidance to dentists to help them reopen their practices "while taking precautions to protect staff, patients and themselves." The toolkit includes:
Because many healthcare institutions experience an ongoing shortage of personal protective equipment (PPE) such as N95 filtering facepiece respirators (FFRs), 3M has outlined new CDC guidelines on how to safely reuse the respirators up to five times.
Per the CDC: "The healthcare worker will wear one respirator each day and store it in a breathable paper bag at the end of each shift. The order of FFR use should be repeated with a minimum of five days between each FFR use. This will result in each worker requiring a minimum of five FFRs, providing that they put on, take off, care for them, and store them properly each day. Healthcare workers should treat the FFRs as though they are still contaminated and follow the precautions outlined in our reuse recommendations. If supplies are even more constrained and five respirators are not available for each worker who needs them, FFR decontamination may be necessary."
Recognizing that COVID-19 has changed the dental industry and how dentistry is practiced, many states have offered assistance and leniency related to licensing and Continuing Education (CE) requirements. This list compiles state-specific information from around the country.
After an extended closure, dental offices will have many things to think about. Many pieces of equipment will need to be treated with extra care and supplies may need to be restocked. Use Henry Schein’s Welcome Back Checklist to ready your business for resuming normal operations in the upcoming post-pandemic world.
Under a new executive order from Arizona's governor, dentists in the state can begin providing elective surgeries beginning May 1 as long as they meet preparedness criteria. Doctors must also get approval from the Department of Health Services before resuming elective surgeries. Preparedness criteria include:
As states consider loosening restrictions in place that are focused on restricting the spread of the novel coronavirus, the Centers for Medicare & Medicaid Services (CMMS) released Phase 1 of its recommendations to “give healthcare facilities some flexibility in providing essential non-COVID-19 care to patients without symptoms of COVID-19 in regions with low incidence of COVID-19.”
Telehealth is strongly encouraged where possible. CMMS also acknowledges that careful planning is a necessity when considering resuming non-COVID-19 care. Considerations include:
Dental offices have been greatly affected by the novel coronavirus pandemic, with many offices closing completely or at least drastically changing operations. While it’s still currently necessary to take proper precautions to ensure the disease is truly mitigated, make sure you’re ready for post-pandemic operations by thinking about it now.
The CDC released Interim Infection Prevention and Control Guidance for Dental Settings During the COVID-19 Response. Key concepts were updated and revisions made on April 7, 2020, include:
Respiratory protection such as the N95 filtering facepiece respirator (FFR) can help reduce healthcare workers’ exposure to airborne particles, including disease-causing bacteria and viruses. No FFR will eliminate exposures entirely but learning how to use them correctly is important. 3M presents information to help answer some of the more frequently asked questions. Topics include:
BioHorizons is committed to providing information and education on the clinical, technology and practice-focused solutions we offer to help our customers improve clinical outcomes and operational success. We pride ourselves on partnering with world-renowned Continuing Education (CE) partners and key thought leaders to bring you ongoing, top-quality reconstructive dentistry education. Participate in engaging online lectures from the comfort of your home or office, anywhere in the world, led by a network of dental experts.
Live and on-demand webinar topics include:
The virtual symposium presents best practices on a broad range of topics from experts across a spectrum of specialties and backgrounds, including:

Students from the Harvard School of Dental Medicine, Harvard Medical School and others worked on the COVID-19 Health Literacy Project toprovide key information about the new coronavirus in more than 30 languages. If you find yourself in need of help communicating in your non-native language, reference this resource for assistance.
Henry Schein presents an update on the new coronavirus in the community as well as forward-thinking scenarios to help you plan for getting your practice back to normal once the pandemic is over. Topics include:
Many healthcare providers, including dentists, are conducting appropriate medical services remotely via telecommunications. The American Association for Oral & Maxillofacial Surgeons provides a comprehensive listing of links to various telehealth guidance from many organizations including the Centers for Medicare & Medicaid Services; the U.S. Centers for Disease Control & Prevention; American Dental Association; American Medical Association and whitehouse.gov.
Learn more.
According to a social worker writing in Modern Hygienist, "the risk for mental health issues is skyrocketing right now." The article includes a plan to help people focus on what they can control and keep themselves centered in reality rather than minimizing the situation. Questions professionals can ask themselves include:
Have you decided to temporarily close your practice? Follow this checklist to ensure your business is protected until you decide to reopen.
Learn more
Small business owners for more than 25 years, Drs. Robert & Bobbi Stanley review what is known about the U.S. CARES act so far and how experts are predicting it can impact dental small business owners. Find answers to questions such as:
Earn 1 CE in this free webinar presented by Henry Schein Practice Services and led by Cirrus Consulting Group. Topics include:
Doctors' offices around the world on high alert for signs of the new coronavirus. Here's a quick refresher on what to look out for.
The CDC criteria for patients under investigation (PUI) for COVID-19 include one of the following scenarios.
Scenario 1:
Note: Fever may not be present in some patients, such as those who are very young, elderly, immunosuppressed, or taking certain fever-lowering medications. Clinical judgment should be used.
If you suspect the patient has COVID-19, immediately contact your local health department. Sanitize anything with which the patient came in contact.
Portions of this article originally appeared on https://www.visualdx.com/visualdx-blog/coronavirus-2019-ncov-what-you-need-to-know.
The American Dental Association (ADA) provides guidance on coding and billing for services provided in-office and via telecommunications services. The ADA notes that dentists may use teledentistry to triage patients and determine if the need is urgent. The guidance includes information on which billing codes to use as well as frequently asked questions regarding how to conduct teledentistry evaluations.
The American Medical Association (AMA) published this guide to help doctors continue to provide care via telecommunication systems (telemedicine). Get answers to questions like:
On March 27, 2020, Congress signed into law the CARES Act, which allocates $349 billion to the Small Business Administration. The loans are non-recourse and require no personal guarantees or liens on practice assets. You can apply if:
Delve even deeper into the topic with the American Dentistry Association’s free webinar. Presented by Michael Graham, ADA's senior vice president of government and public affairs, and Allen M. Schiff, CPA, CFE, managing member, Schiff & Associates LLC (S&A), the webinar covers:
Please note: You will need to register for a free ADA account to view the webinar. ADA membership is not required.
Watch now.
Dear Valued Customers,
Over the last couple of weeks, we have seen the world take numerous measures in an effort to contain the spread of COVID-19. It is increasingly evident that social distancing and other efforts to mitigate the spread of the virus will persist longer than anticipated.
The dental industry, in particular, has been significantly affected by recommendations from organizations such as the American Dental Association (ADA) that no non-emergency dental procedures should be completed until further notice. This includes routine dental procedures such as: initial or periodic oral examinations, cleanings, asymptomatic teeth extractions and esthetic procedures.
We understand the stress created by office closings and related uncertainty since no one is sure how long these measures will remain in place. As such, we are pleased to provide the following resources to assist you in responding to the challenges with which COVID-19 presents our industry:
We continue to operate with most team members working from home but are shipping products per usual, and our U.S. production facilities are operating at full capacity. We will provide weekly updates to keep you informed of our activities so we all can make it through this crisis together. Please do not hesitate to contact me, your Territory Manager or Customer Care if you require any assistance. We sincerely hope that all of you, your friends and loved ones remain safe during this unprecedented time and that our world comes together to move past the challenges we currently face.
Best regards,
Steve Boggan
President & CEO
BioHorizons
Earn CE during this free webinar that addresses what the implications of the new coronavirus are for dental practices, near- and short-term. Learn about what precautions your practice can take, OSHA regulations and more. Speaker Mary Govoni, CDA, RDA, RDH, MBA, is an internationally recognized speaker, author and consultant on clinical efficiency, ergonomics, OSHA & HIPAA compliance, infection control and team communication. Register for free to earn your CE. CE provided by Halyard Dental.
No matter the procedures they need, every patient is likely concerned about visiting a healthcare provider's office. Communication is key to ensuring your patients remain committed to your practice during and after the pandemic. Your staff members can use the following suggested scripts and talking points when communicating with patients about COVID-19 concerns.
Appointment Confirmation: Confirming patient appointments presents an opportunity for assuring patients of your practice's dedication to cleanliness guidelines and for an informal screening to help ensure sick patients do not arrive at the practice.
If patient answers:
Good morning/afternoon, [insert patient name], this is Dr. ____'s office confirming your appointment for [insert date and time].
If leaving a recorded message/recording automated message:
"Good morning/afternoon, [insert patient name]. This is Dr. ____'s office confirming your appointment for [insert date and time].
If confirming an appointment rescheduled due to illness and patient answers:
If confirming an appointment reschedule due to illness and leaving recording message:
"Good morning/afternoon, [insert patient name]. This is Dr. ____'s office confirming your appointment for [insert date and time].
In the office – Consider screening patients upon arrival by taking their temperature and asking if they have experienced fever, cough, shortness of breath or body aches. Attempt to screen them before they sit down in the chair. {Some practices are doing curbside or parking lot screening to reduce exposure to other patients}. If they have a fever, reschedule the appointment and sanitize anything they came in contact with. Consider mentioning this in your phone calls so they won’t be surprised by this additional step.
In waiting area (have a nurse stationed to assist with patient check in):
Good morning/afternoon, how have you been feeling? Within the last 14 days, have you experienced a fever? Cough? Shortness of breath? Let's go ahead and take your temperature. Do you have any concerns to share with the doctor before your visit?
Appointment follow-up – Patients may be contagious before they present with symptoms. These patients may be harder to track down. Use patient follow-up to find out if they were satisfied with their appointment and to check on their coronavirus status.
If patient answers:
Good morning/afternoon, this is Dr. _____'s office following up on your appointment with us on [insert date/time].
[If they have experienced symptoms]
[If no symptoms]
If leaving a message/automated system:
"Good morning/afternoon, [insert patient name]. This is Dr. ____'s office confirming your appointment for [insert date and time].
Talking points to help you answer potential questions before, during and after appointments
If your office must close because of local outbreaks or other WHO guidance, let patients know via email, social and phone calls.
Automated message:
Good morning/afternoon, this is Dr. ____'s office.
Additional recommendations:
For additional guidance, consult the World Health Organization World Health Organization and the Henry Schein Education Center
Tips and messaging guides to help patients understand your COVID-19 policy and reschedule their appointments:
COVID-19 has forced us to change how we conduct our daily business and even how we interact with each other. During times of uncertainty, it's critical we have a plan to effectively communicate with our patients to help deal with any disruption to their dental care schedules, while continuing to provide a quality patient experience.
Below are some best practices for using your patient communication tools to send messages that ease patient concerns, clarify your COVID-19 policy, provide dental care information, and reschedule appointments for when your practice is ready. Also included are sample messages to help you communicate practice closure and reopening.
Steps for properly communicating to patients during a crisis:
Messaging guides for communicating to patients about your COVID-19 policy:
For automated emails announcing: Office Closure
As novel coronavirus (COVID-19) diagnoses continue to increase around the world, we are committed as always to providing a safe and hygienic environment for our patients and team. Updates may change day-to-day but currently, individual state dental associations are recommending for dental practices to suspend nonessential or non-urgent dental care for the next two weeks to help with social distancing efforts in order to help slow the spread of the virus. If you have a dental need and are unsure of the next steps, please do not hesitate to give us a call so we can help you! Our phone lines will be staying open and appointments will be available on an as-needed basis. We will keep in touch if current guidelines change and will let you know of any updates. Thank you for your trust in us, and we look forward to helping you with your dental care in the future.
Messaging guides for communicating to patients about your COVID-19 policy (continued):
For automated emails announcing: Office Open
As novel coronavirus (COVID-19) diagnoses continue to increase around the world, we are committed as always to providing a safe and hygienic environment for our patients and team. Updates may change day-to-day but currently, our doors are still open and we are maintaining business as usual. We do kindly ask, for the health and safety of patients and our staff, that only the patients receiving dental treatment come into the office. We will continue to use precautions with every patient we interact with in order to keep you safe! If you have a dental need and are unsure of the next steps, please do not hesitate to give us a call so we can help you! Our phone lines will be staying open and appointments will be available on an as-needed basis. We will keep in touch if current guidelines change and will let you know of any updates. Thank you for your trust in us, and we look forward to helping you with your dental care in the future.
For automated voice messages announcing: Office Closed
Good morning/afternoon, this is Dr. ____'s office.
We are calling to let you know that due to local outbreaks of COVID-19, the disease caused by the new coronavirus, our office will close until [insert date], at which point we will look at the local situation and evaluate reopening or extending our closure. Thank you for patience and understanding. We hope you and your family and friends stay healthy and safe during this outbreak
For automated voice messages announcing: Office Open
Good morning/afternoon, [insert patient name]. This is Dr. ____'s office confirming your appointment for [insert date and time].
To protect our patients and staff during the new coronavirus outbreak, we are taking additional precautions to keep you safe. This includes being more aggressive with daily cleaning in the waiting and clinical areas. If you are experiencing symptoms such as fever, coughing, shortness of breath or body aches, please reschedule your appointment for at least two weeks after your symptoms end. You will not be charged a cancellation fee for any appointments canceled due to illness until further notice. We are monitoring the situation at the national and local levels, and we will keep you updated with any changes.
Tips for using Henry Schein One Patient Communication Software:
If you are a user of Henry Schein One North America patient communication systems, such as Demandforce, Lighthouse360, Dentrix Patient Engage, Sesame, or Communication Manager, you can use these features now:
Helpful "How to" tips:
Visit these help pages for steps on how to use your specific software features to communicate to your COVID-19 policy and reschedule patients.
For Patient Communication users, visit:
For website users, visit:
If you have any questions regarding how to reach your patients, best practices, or how your business can adjust to the evolving situation, please reach out to our support team at 833.471.2273.
If you do not use Henry Schein One patient communication tools, feel free to use these recommendations in your own practice. And if you would like to learn more, we’re here to help, at 833.471.7253.
Dear Valued Customer,
Thank you for your support of BioHorizons and for the important role you play in protecting and improving public health. Our society is facing unprecedented challenges due to the threat of COVID-19 and, as such, I wish to inform you of the proactive measures we have implemented in consideration of this global concern.
We are taking the following steps to continue our excellent service to you:
We are taking several precautions to ensure safety and minimize transmission of the virus:
We stand ready to support you during this difficult time. We hope you and your family remain healthy and unaffected by this outbreak. Please do not hesitate to contact me or your TM if we can be of additional service.
Best regards,
Steve Boggan
President & CEO
BioHorizons
ASUNTO: Actualización COVID-19 — 21 Mayo de 2020
El Gobierno de México declaró el inicio del PLAN GRADUAL hacia la Nueva Normalidad en la Ciudad de Mexico aplicable también a toda la República Mexicana acorde a las normas de reincorporación a las actividades económicas del país y cada estado bajo su gobernatura estatal. La Fase 4 ha sido implementada en el Estado de Mexico – La guardia Nacional DN-III apoya en el seguimiento de la emergencia sanitaria.
México continúa solicitando las medidas de mitigación y contención en permanecer en aislamiento, las nuevas indicaciones del Gobierno Federal de Mexico implica acatar los siguientes lineamientos de salud ante la emergencia sanitaria:

Continuamos operando con la mayoría de los miembros del equipo trabajando desde casa, pero continuamos sirviendo pedidos de la forma habitual. Contamos con el apoyo de logística de surtido de materiales en nuestra oficina en Mexico, así mismo en las instalaciones de producción en EE. EE. UU. están operando a plena capacidad.
Proporcionaremos actualizaciones semanales para mantenerlo informado de nuestras actividades para que todos podamos superar esta crisis juntos.
No dude en ponerse en contacto conmigo, con su Delegado Comercial o con Atención al Cliente si necesita ayuda. Esperamos sinceramente que todos ustedes, sus amigos y seres queridos permanezcan seguros durante este tiempo sin precedentes y que nuestro mundo se una para superar los desafíos que enfrentamos actualmente.
Visite la página del Gobierno Federal: coronavirus.gob.mx para su actualización en los mecanismos implementados para salvaguardar el protocolo implementado por el Gobierno de la República Mexicana. Atentamente,
Beatriz Sanchez
Administrative Coordinator
BioHorizons Mexico
Estimado cliente,
Dadas las últimas medidas tomadas por las autoridades informamos lo siguiente:
Esperando todos se encuentren bien, un gran y afectuoso saludo,
Mónica Nilo
General Manager
BioHorizons Chile
Estimado cliente,
El Gobierno de México declaró este martes el inicio de la Fase 3 del coronavirus, lo que implica que en esta etapa de la emergencia sanitaria se den la mayor cantidad de contagios entre la población.
El lunes 20 de Abril,durante la conferencia de Prensa del Gobierno Federal de MEXICO,quien en su vocero y portavoz elSub-Secretario de Salud manifestó se entra en vigor a partir del 21 de Abril 2020 la ETAPAde FASE 3 de la Epidemia Coronavirusen Mexico.
Méxicoseendureceránlasmedidasparatratardefrenarlapandemiapor el coronavirus COVID-19. A continuación, te decimos las restricciones que implica la Emergencia Sanitaria en nuestro país:
CUADRO DE FASE 3: EPIDEMICO. - IMPLEMENTACION DE PLAN DN-FASE III
Estamos operando con la mayoría de los miembros del equipo trabajando desde casa, pero continuamos sirviendo pedidos de la forma habitual. Contamos con el apoyo de logística de surtido de materiales en nuestra oficina en Mexico, así mismo en las instalaciones de producción en EE. EE. UU. están operando a plena capacidad.
Proporcionaremos actualizaciones semanales para mantenerlo informado de nuestras actividades para que todos podamos superar esta crisis juntos.
No dude en ponerse en contacto conmigo, con su Delegado Comercial o con Atención al Clientesi necesita ayuda. Esperamos sinceramente que todos ustedes, sus amigos y seres queridos permanezcan seguros durante este tiempo sin precedentes y que nuestro mundo se una para superar los desafíos que enfrentamos actualmente.
Visite la página del Gobierno Federal: https://coronavirus.gob.mx/para su actualización en los mecanismos implementados para salvaguardar el protocolo de Sana Distancia.
Atentamente,
Beatriz Sanchez
Administrative Coordinator
BioHorizons Mexico
Estimado cliente,
Esperando se encuentren todos bien en familia.
Por medio del presente le informamos que, debido a las recientes medidas tomadas por el Ministerio de Salud, hemos reanudado las operaciones de venta en nuestra compañía. Con el fin de resguardar la salud de nuestro equipo de colaboradores, estaremos operando con una dotación mínima y privilegiando el trabajo remoto.
Debido a la contingencia y que varias comunas y/o ciudades se encuentran en cuarentena, los despachos podrían verse retrasados. Por lo cual los pedidos del área de Santiago deben realizarse con al menos 48 horas hábiles de anticipación y 72 horas hábiles para regiones. Además, comunicamos que, debido a las medidas de prevención de contagios, nuestras oficinas se encuentran cerradas para atención de clientes de forma presencial.
Le pedimos privilegie los medios digitales para comunicarse con su ejecutivo de ventas de forma anticipada.
Atentamente,
Mónica Nilo
General Manager
BioHorizons Chile
Estimado Cliente:
Acorde a las indicaciones provistas por el Gobierno Federal de los ESTADOS UNIDOS MEXICANOS quien en las últimas semanas han invitado y alentado a tomar numerosas medidas en un esfuerzo por contener la propagación de COVID-19. Cada vez es más evidente que el distanciamiento social y otros esfuerzos para mitigar la propagación del virus persistirán más de lo previsto.
El día de ayer, durante la conferencia de Prensa del Gobierno Federal de MEXICO, quien en su vocero y portavoz el Secretario de Salud manifestó las siguientes medidas que se señalan toman efecto hoy en día 31 de Marzo del 2020 hasta que modifique la situación de contención de la salud que se alerta en el país.
Actividades que de manera directa son esenciales para atender emergencias sanitarias como:
La rama médica, paramédica, administrativa y el sector salud, tanto en lo público, como privado.
Las actividades involucradas en la seguridad pública y protección ciudadana: La Actividad legislativa. Las que tienen que ver con sectores esenciales para la economía:
Estamos operando con la mayoría de los miembros del equipo trabajando desde casa, pero continuamos sirviendo pedidos de la forma habitual y nuestras instalaciones de producción en EE. EE. UU. están operando a plena capacidad. Proporcionaremos actualizaciones semanales para mantenerlo informado de nuestras actividades para que todos podamos superar esta crisis juntos.
No dude en ponerse en contacto conmigo, con su Delegado Comercial o con Atención al Cliente si necesita ayuda. Esperamos sinceramente que todos ustedes, sus amigos y seres queridos permanezcan seguros durante este tiempo sin precedentes y que nuestro mundo se una para superar los desafíos que enfrentamos actualmente.
Visite la página del Gobierno Federal: coronavirus.gob.mx/ para su actualización en los mecanismos implementados para salvaguardar el protocolo de Sana Distancia.
Atentamente,
Beatriz Sanchez
Administration
BioHorizons Mexico
Estimados cliente,
En las últimas semanas hemos visto al mundo tomar numerosas medidas en un esfuerzo por contener la propagación de COVID-19. Cada vez es más evidente que el distanciamiento social y otros esfuerzos para mitigar la propagación del virus persistirán más de lo previsto.
La industria dental en particular se ha visto significativamente afectada por las recomendaciones de la SECRETARIA DE SALUD , asi como de su órgano principal de apoyo: INSTITUTO MEXICANO DEL SEGURO SOCIAL de evitar realizar actividades de contacto.
Asi mismo se han recibido notificaciones de diversos centros de tratamientos dentales, consultorios y universidades , que permanecerán cerradas , a menos que no sean de emergencia , ciertos casos , hasta nuevo aviso.
Entendemos el estrés creado por el cese de actividad de las clínicas y la incertidumbre relacionada, ya que nadie está seguro de cuánto tiempo estas medidas permanecerán vigentes. Como tal, nos complace proporcionar los siguientes recursos para ayudarlo a responder a los desafíos con los que COVID-19 presenta nuestra industria:
Estamos operando con la mayoría de los miembros del equipo trabajando desde casa, pero continuamos sirviendo pedidos de la forma habitual y nuestras instalaciones de producción en EE. EE. UU. están operando a plena capacidad. Proporcionaremos actualizaciones semanales para mantenerlo informado de nuestras actividades para que todos podamos superar esta crisis juntos. No dude en ponerse en contacto conmigo, con su Delegado Comercial o con Atención al Cliente si necesita ayuda. Esperamos sinceramente que todos ustedes, sus amigos y seres queridos permanezcan seguros durante este tiempo sin precedentes y que nuestro mundo se una para superar los desafíos que enfrentamos actualmente.
Atentamente,
Beatriz Sanchez
bsanchez@biohorizons.com
BioHorizons
Administrative Coordinator
BioHorizons Mexico
Estimados clientes,
En el transcurso de las últimas semanas, hemos visto al mundo tomar una serie de medidas en un esfuerzo para contener la propagación del COVID-19. Es cada vez más evidente que el distanciamiento social y otras medidas para mitigar la propagación del virus, perdurarán más de lo anticipado.
La industria dental, en particular, ha sido significativamente afectada por recomendaciones de organizaciones tales como Ministerio de Salud de Chile, sobre la postergación de tratamientos dentales que no sean emergencias. Tales como examinaciones iniciales o rutinarias, limpiezas dentales, extracciones asintomáticas y procedimientos estéticos.
Entendemos el estrés generado por el cierre de oficinas y la consecuente incertidumbre ya que nadie está seguro sobre cuánto tiempo permanecerán vigentes estas medidas. Es por esto por lo que estamos complacidos con poner a disposición los siguientes recursos para asistirlo en responder los desafíos que el COVID-19 nos presenta en nuestra industria:
Continuamos operando con todos los miembros de nuestro equipo trabajando desde sus hogares, sin poder realizar despachos por el momento debido a la cuarentena aplicada por las autoridades pertinentes. Nuestras instalaciones de producción en USA están operando a su completa capacidad. Estaremos entregando actualizaciones semanales para mantenerlo informado de nuestras actividades de forma de que todos podamos atravesar juntos esta crisis.
Favor no dude en contactarse conmigo, con su ejecutivo de ventas o con servicio al cliente si requiere cualquier tipo de asistencia. Sinceramente esperamos que todos ustedes, sus amigos y seres queridos se mantengan seguros durante este escenario sin precedentes y que nuestro mundo se una para atravesar los desafíos que enfrentamos actualmente.
Atentamente,
Mónica Nilo
General Manager
BioHorizons Chile
Estimado Cliente:
Nos encontramos ante una situación excepcional a la que nunca nos habíamos enfrentado y nos gustaría agradecerle su apoyo a BioHorizons Mexico. Con el fin de contribuir a preservar la salud pública, le informamos de las medidas que hemos tomado para hacer frente al COVID-19:
No dude en ponerse en contacto conmigo o con su delegado comercial para brindarle un servicio adicional. Estamos preparados para apoyarle en este momento difícil y le agradecemos de nuevo su apoyo. Esperamos que usted y su familia se encuentren bien.
Atentamente,
Beatriz Sanchez
bsanchez@biohorizons.com
BioHorizons
Administrative Coordinator
BioHorizons Mexico
Nos encontramos ante una situación excepcional a la que nunca nos habíamos enfrentado, y nos gustaría agradecer su apoyo a BioHorizons Chile. Dadas las últimas medidas tomadas por las autoridades informamos lo siguiente:
Cierre obligatorio de nuestras oficinas hasta nuevo aviso
Estamos trabajando para reprogramar todos estos eventos, y compartiremos una actualización con más información tan pronto como sea posible.
Esperando todos se encuentren bien, un gran y afectuoso saludo
Atentamente,
Mónica Nilo
General Manager
BioHorizons Chile
Estimado Cliente:
En las últimas semanas hemos visto al mundo tomar numerosas medidas en un esfuerzo por contener la propagación de COVID-19. Cada vez es más evidente que el distanciamiento social y otros esfuerzos para mitigar la propagación del virus persistirán más de lo previsto.
La industria dental en particular se ha visto significativamente afectada por las recomendaciones de organizaciones como el Consejo General de Dentistas de España de evitar realizar tratamientos dentales que no sean de emergencia hasta nuevo aviso.
Entendemos el estrés creado por el cese de actividad de las clínicas y la incertidumbre relacionada, ya que nadie está seguro de cuánto tiempo estas medidas permanecerán vigentes. Como tal, nos complace proporcionar los siguientes recursos para ayudarlo a responder a los desafíos con los que COVID-19 presenta nuestra industria:
Estamos operando con la mayoría de los miembros del equipo trabajando desde casa, pero continuamos sirviendo pedidos de la forma habitual y nuestras instalaciones de producción en EE. EE. UU. están operando a plena capacidad. Proporcionaremos actualizaciones semanales para mantenerlo informado de nuestras actividades para que todos podamos superar esta crisis juntos.
No dude en ponerse en contacto conmigo, con su Delegado Comercial o con Atención al Cliente si necesita ayuda. Esperamos sinceramente que todos ustedes, sus amigos y seres queridos permanezcan seguros durante este tiempo sin precedentes y que nuestro mundo se una para superar los desafíos que enfrentamos actualmente.
Atentamente,
Jorge Valls
General Manager
BioHorizons Camlog Ibérica
Dear Valued Customers,
Over the last couple of weeks, we have seen the world take numerous measures in an effort to contain the spread of COVID-19. It is increasingly evident that social distancing and other efforts to mitigate the spread of the virus will persist longer than anticipated.
The dental industry, in particular, has been significantly affected by recommendations from organizations such as the British Dental Association (BDA) that no non-emergency dental procedures should be completed until further notice. This includes routine dental procedures such as: initial or periodic oral examinations, cleanings, asymptomatic teeth extractions and esthetic procedures.
We understand the stress created by office closings and related uncertainty since no one is sure how long these measures will remain in place. As such, we are pleased to provide the following resources to assist you in responding to the challenges with which COVID-19 presents our industry:
We continue to operate with most team members working from home but are shipping products per usual, and our U.S. production facilities are operating at full capacity. We will provide weekly updates to keep you informed of our activities so we all can make it through this crisis together.
Please do not hesitate to contact me, your Territory Manager or Customer Care if you require any assistance. We sincerely hope that all of you, your friends and loved ones remain safe during this unprecedented time and that our world comes together to move past the challenges we currently face.
Best regards,
Eric Suter
Director Sales, Western Europe
BioHorizons Camlog Italia partecipa con grande senso di responsabilità al severo stato di emergenza sociale e sanitaria in atto nel nostro paese.
Con l’intento e il desiderio di essere, sempre comunque, al fianco dei nostri clienti e nel rispetto della salvaguardia della salute di ogni collaboratore, sono state recepite tutte le raccomandazioni ed adottati tutti gli accorgimenti previsti in termini di redistribuzione degli spazi e turni di lavoro.
Sarà quindi garantito, nelle prossime settimane, un presidio minimo dell’operatività del Customer Service presso la nostra sede centrale, al fine di assicurare la gestione degli approvvigionamenti necessari e delle urgenze. Per gli altri reparti è stata prevista, in ottemperanza con l’ultimo decreto in vigore, la modalità di lavoro in smartworking. Garantiamo supporto commerciale, scientifico e tecnico prediligendo contatti telefonici o digitali.
Stiamo inoltre sviluppando un fitto programma di formazione a distanza per tenerci costantemente in contatto ed in aggiornamento con tutti i nostri clienti.
Tutto lo staff di BioHorizons Camlog Italia è al vostro fianco per offrirvi, come e più di sempre, il massimo del supporto, del servizio e della qualità.
Stretti nel comune abbraccio, sostegno e ringraziamento a tutti i nostri operatori sanitari, ci uniamo al loro appello:
#iorestoincorsia #turestaacasa
Estimados cliente,
Nos encontramos ante una situación excepcional a la que nunca antes nos habíamos enfrentado y nos gustaría agradecerle su apoyo a BioHorizons Camlog. Con el fin de contribuir a preservar la salud pública, le informamos de las medidas que hemos tomado para hacer frente al COVID-19:
No dude en ponerse en contacto conmigo o con su delegado comercial para brindarle un servicio adicional.
Estamos preparados para apoyarle en este momento difícil y le agradecemos de nuevo su apoyo.
Esperamos que usted y su familia se encuentren bien.
Atentamente,
Jorge Valls Campos
General Manager
BioHorizons Camlog Ibérica
Estimado Cliente:
Nos encontramos diante de uma situação excepcional a qual nunca antes havíamos enfrentado e diante da qual gostaríamos de agradecer pelo seu apoio à BioHorizons Camlog. Com a finalidade de contribuir em preservar a saúde pública, informamos sobre as medidas que temos tomado para combater ao COVID-19:
Não hesite em colocar-se em contacto comigo ou com o seu delegado comercial para um atendimento especial.
Estamos preparados para apoiá-los neste momento difícil e agradecemos pelo seu apoio.
Esperamos que encontre-se bem, assim como a sua família.
Atenciosamente,
Jorge Valls Campos
General Manager
BioHorizons Camlog Ibérica
Dear Valued Customer,
Thank you for your support of BioHorizons Camlog and for the important role you play in protecting and improving public health. We want to update you on our measures to cope with the Corona virus situation.
We stand ready to support you during this difficult times and please don’t hesitate to reach out to us for any advice and help that we can provide.
On behalf of the entire UK team let me send you our best regards.
Dr. Eric Suter
Director Sales Western Europe