Products

Services

Education

Store

Contact

Company


Global Headquarters
2300 Riverchase Center
Birmingham, AL 35244
USA

tel: 888.246.8338
tel: 205.967.7880
fax: 205.870.0304

BioHorizons Canada
21 Amber Street, Unit #6
Markham, Ontario L3R 4Z3
Canada

tel: 866.468.8338
fax: 905.944.1894

BioHorizons Chile, S.A.
Av. Manquehue Norte 1337 Office 31
Vitacura
Santiago
Chile

tel: +56 (2) 23619519
fax: +56 (2) 361.9521

BioHorizons Italia Srl
Via Ettore Cristoni, 88
40033 Casalecchio di Reno (BO) Italy

numero verde +800.063.040
tel. +39.051.59.07.00
fax +39.051.57.61.06

BioHorizons México
Av. Insurgentes # 64 colonia Juarez
Torre B oficina 407
Delegación Cuauhtémoc
CP 06600 CDMX
México

tel. 800.953.0498
tel. 011.52.5511638675

Spanish Office
BioHorizons Spain
Calle Oruro, 9
28016 Madrid,
Spain

tel: +34.91.713.10.84
fax: +34.91.355.83.75

BioHorizons Camlog UK & Ireland
Reflex
Cain Road
Bracknell
Berkshire RG12 1HL
United Kingdom

tel: +44 (0)1344 752560

AlloDerm SELECT™ RTM

AlloDerm SELECT RTM

AlloDerm SELECT™ RTM

Since its introduction to dentistry in 1999, AlloDerm SELECT™ Regenerative Tissue Matrix (RTM) has been a widely accepted acellular dermal matrix (ADM) for soft tissue applications. As demonstrated in preclinical studies, AlloDerm SELECT™ supports tissue regeneration by allowing rapid revascularization and cell repopulation*1,2—ultimately transitioning into host tissue for a strong repair. (Thickness ranges from 1.6 ± 0.4mm.)

  • Use of AlloDerm SELECT™ RTM results in reduced postoperative bleeding and swelling as reported in a case series3,†
  • No recognizable difference between AlloDerm SELECT™ RTM and connective tissue in terms of recession reduction, clinical attachment gain, and reduction in probing depth at six months4,‡
  • Most published ADM in implant dentistry5
  • Sterile and ready-to-use6
  • Now available in a thicker format, AlloDerm SELECT™ THICK has an increased thickness of 2.4mm ± 0.4mm
* Correlation of these results, based on animal studies, to results in humans has not been established

Before use, physicians should review all risk information, which can be found in the AlloDerm SELECT™ RTM Instructions for Use.
† Based on questionnaire given to 228 patients at 1 week post-treatment covering 331 procedures who received an AlloDerm SELECT™ RTM (n=89 procedures) or autogenous soft tissue (n=242 procedures) graft for gingival augmentation.
‡ Results obtained from 30 gingival recessions in 9 patients treated with AlloDerm SELECTTM RTM (15 recessions) or autogenous soft tissue (15 recessions).

applications include6

  • root coverage
  • gingival augmentation
  • soft tissue augmentation around implants

"Compared to palatal CTG, AlloDerm SELECT™ RTM provides good esthetics and a more pleasant experience for the patient, especially when treating multiple teeth. The palate is no longer a factor in patient acceptance or the number of teeth that can be treated in a single appointment."

Edward P. Allen, DDS, PhD

mechanism of action

The processing of a biological material ultimately impacts the clinical outcome. The undamaged, intact dermal matrix that enables positive recognition and supports regeneration as demonstrated in preclinical models.1,2,7,†

Regenerative Tissue Matrix
Complex acellular heterogenous scaffold and blood vessel architecture; pre-hydrated and ready-to-use

† Correlation of these results, based on animal studies, to results in humans has not been established.

AlloDerm Matrix

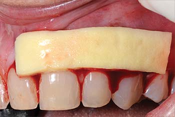
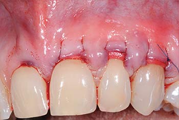
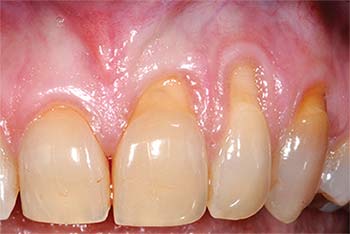
AlloDerm SELECT™ RTM cases

root coverage

AlloDerm SELECT™ RTM case images courtesy of Edward P. Allen, DDS, PhD

mechanism of action

LifeCell processing method

Undamaged
Tissue Matrix

POSITIVE Recognition1,2
(body recognizes as self)

• Revascularization
• Fibroblast repopulation
• Reduced inflammatory response

REGENERATION

Alternative

Damaged
Tissue Matrix

NEGATIVE Recognition1,7
(body recognizes as foreign)

• Revascularization
• Fibroblast repopulation
• Reduced inflammatory response

Degradation
Encapsulation

literature

REFERENCES 

  1. Extracellular wound matrices: a novel regenerative tissue matrix (RTM) technology for connective tissue reconstruction. Wounds. Harper JR, McQuillan DJ. 2007;19(6):163-168.
  2. Host response to human acellular dermal matrix transplantation in a primate model abdominal wall repair. Tissue Eng Part A. Xu H, Wan H, Sandor M, et al. 2008;14(2):2009-2019.
  3. Postoperative complications following gingival augmentation procedures. Griffin T, Cheung W, Zavaras A, Damoulis P. Journal of
    Periodontology. December 2006.
  4. Comparative 6-Month Clinical Study of a Subepithelial Connective Tissue Graft and Acellular Dermal Matrix Graft for the
    Treatment of Gingival Recession*. Arthur B. Novaes Jr., Daniela C. Grisi, Gustavo O. Molina, Sérgio L.S. Souza, Mario Taba Jr., and
    Márcio F.M. Grisi. J Periodontal. 2001; 72(11): 1477-1484.
  5. Pub Med search AlloDerm, Sept 2021
  6. Reference manufacturer’s Instructions for Use (IFU) package insert.
  7. Host response to implanted porcine-derived biologic materials in a primate model of abdominal wall repair. Tissue Eng Part A.
    Sandor M, Xu H, Connor J, et al. 2008;14(12):2021-2031.

AlloDerm SELECT™ Regenerative Tissue Matrix (RTM) is ready-to-use and designed to have similar clinical and intraoperative performance to AlloDerm™ RTM

INDICATIONS AND IMPORTANT SAFETY INFORMATION

INDICATIONS
ALLODERM SELECT™ Regenerative Tissue Matrix (ALLODERM SELECT™ RTM refers to both ALLODERM SELECT™ RTM and ALLODERM SELECT GBR™ RTM products) is intended to be used for repair or replacement of damaged or inadequate integumental tissue or for other homologous uses of human integument including gingival. This product is intended for one patient on a single occasion. ALLODERM SELECT™ RTM is not indicated for use as a dural substitute or intended for use in veterinary applications.

IMPORTANT SAFETY INFORMATION

CONTRAINDICATIONS
ALLODERM SELECT™ RTM should not be used in patients with a known sensitivity to any of the antibiotics listed on the package and/or Polysorbate 20.

WARNINGS
Processing of the tissue, laboratory testing, and careful donor screening minimize the risk of the donor tissue transmitting disease to the recipient patient. As with any processed donor tissue, ALLODERM SELECT™ RTM is not guaranteed to be free of all pathogens. No long-term studies have been conducted to evaluate the carcinogenic or mutagenic potential or reproductive impact of the clinical application of ALLODERM SELECT™ RTM.

DO NOT re-sterilize ALLODERM SELECT™ RTM. DO NOT reuse once the tissue graft has been removed from the packaging and/or is in contact with a patient. Discard all open and unused portions of the product in accordance with standard medical practice and institutional protocols for disposal of human tissue. Once a package or container seal has been compromised, the tissue shall be either transplanted, if appropriate, or otherwise discarded. DO NOT use if the foil pouch is opened or damaged. DO NOT use if the seal is broken or compromised. DO NOT use if the temperature monitoring device does not display “OK”. DO NOT use after the expiration date noted on the label. Transfer ALLODERM SELECT™ RTM from the foil pouch aseptically. DO NOT place the foil pouch in the sterile field.

PRECAUTIONS
Poor general medical condition or any pathology that would limit the blood supply and compromise healing should be considered when selecting patients for implanting ALLODERM SELECT™ RTM as such conditions may compromise successful clinical outcome. Whenever clinical circumstances require implantation in a site that is contaminated or infected, appropriate local and/or systemic anti-infective measures should be taken.

ALLODERM SELECT™ RTM has a distinct basement membrane (upper) and dermal surface (lower). When applied as an implant, it is recommended that the dermal side be placed against the most vascular tissue. Soak the tissue for a minimum of 2 minutes using a sterile basin and room temperature sterile saline or room temperature sterile lactated Ringer’s solution to cover the tissue. If any hair is visible, remove using aseptic technique before implantation.

ALLODERM SELECT™ RTM should be hydrated and moist when the package is opened. DO NOT use if this product is dry. Use of this product is limited to specific health professionals (e.g., physicians, dentists, and/or podiatrists). Certain considerations should be made to reduce the risk of adverse events when performing surgical procedures using a tissue graft. Please see the Instructions for Use (IFU) for more information on patient/product selection and surgical procedures involving tissue implantation before using ALLODERM SELECT™ RTM.

ADVERSE EVENTS
Potential adverse events which may result from surgical procedures associated with the implant of a tissue graft include, but are not limited to the following: wound or systemic infection; dehiscence; hypersensitive, allergic or other immune response; and sloughing or failure of the graft.

ALLODERM SELECT™ RTM is available by prescription only.

For more information, please see the Instructions for Use (IFU) for ALLODERM SELECT™ RTM and ALLODERM SELECT GBR™ RTM or call 1.800.678.1605 for a copy of the IFU.

To report an adverse reaction, please call BioHorizons Customer Care at 1.888.246.8338

ALLODERM™, ALLODERM SELECT™, ALLODERM GBR™, and their designs are trademarks of LifeCell Corporation, an AbbVie company. © 2021 BioHorizons and AbbVie. All rights reserved.