Products

Services

Education

Store

Contact

Company


Global Headquarters
2300 Riverchase Center
Birmingham, AL 35244
USA

tel: 888.246.8338
tel: 205.967.7880
fax: 205.870.0304

BioHorizons Canada
21 Amber Street, Unit #6
Markham, Ontario L3R 4Z3
Canada

tel: 866.468.8338
fax: 905.944.1894

BioHorizons Chile, S.A.
Av. Manquehue Norte 1337 Office 31
Vitacura
Santiago
Chile

tel: +56 (2) 23619519
fax: +56 (2) 361.9521

BioHorizons Italia Srl
Via Ettore Cristoni, 88
40033 Casalecchio di Reno (BO) Italy

numero verde +800.063.040
tel. +39.051.59.07.00
fax +39.051.57.61.06

BioHorizons México
Av. Insurgentes # 64 colonia Juarez
Torre B oficina 407
Delegación Cuauhtémoc
CP 06600 CDMX
México

tel. 800.953.0498
tel. 011.52.5511638675

Spanish Office
BioHorizons Spain
Calle Oruro, 9
28016 Madrid,
Spain

tel: +34.91.713.10.84
fax: +34.91.355.83.75

BioHorizons Camlog UK & Ireland
Reflex
Cain Road
Bracknell
Berkshire RG12 1HL
United Kingdom

tel: +44 (0)1344 752560

Mem-Lok Pericardium

Mem-Lok® Pericardium

Mem-Lok Pericardium is a long-lasting, conformable barrier membrane that drapes easily for graft site contours. It has excellent strength and stability for optimal graft site protection.

  • tear-resistant, can be sutured1
  • 5-year shelf life2
  • can be stored at room temperature3

Mem-Lok Pericardium

applications include3

  • extraction sites
  • periodontal defects
  • block graft coverage
  • ridge reconstruction

"The hydrated Mem-Lok Pericardium has excellent handling and adaptability to the graft site."
— Guy Rosenstiel, DMD

Mem-Lok Pericardium

Mem-Lok Pericardium cases

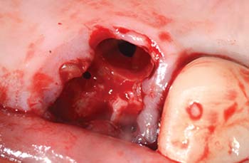
extraction site case

Mem-Lok Pericardium case image 1

extraction site #14

Mem-Lok Pericardium case image 2

Mem-Lok Pericardium membrane placement

Mem-Lok Pericardium case image 3

Mem-Lok Pericardium membrane in place

Mem-Lok Pericardium case image 4

sutured without primary closure

Mem-Lok Pericardium case images courtesy of Dr. Guy Rosenstiel

literature

  1. Mechanical testing of pericardium for manufactring prosthetic heart valvles.
    Aguiari P et al. Interactive CardioVascular and Thoracic Surgery. 22 (2016) 72-84
  2. Data on file with the manufacturer.
  3. Reference manufacturer's Instructions for Use (IFU) package insert.
Not available in all countries.