Products

Services

Education

Store

Contact

Company


Global Headquarters
2300 Riverchase Center
Birmingham, AL 35244
USA

tel: 888.246.8338
tel: 205.967.7880
fax: 205.870.0304

BioHorizons Canada
21 Amber Street, Unit #6
Markham, Ontario L3R 4Z3
Canada

tel: 866.468.8338
fax: 905.944.1894

BioHorizons Chile, S.A.
Av. Manquehue Norte 1337 Office 31
Vitacura
Santiago
Chile

tel: +56 (2) 23619519
fax: +56 (2) 361.9521

BioHorizons Italia Srl
Via Ettore Cristoni, 88
40033 Casalecchio di Reno (BO) Italy

numero verde +800.063.040
tel. +39.051.59.07.00
fax +39.051.57.61.06

BioHorizons México
Av. Insurgentes # 64 colonia Juarez
Torre B oficina 407
Delegación Cuauhtémoc
CP 06600 CDMX
México

tel. 800.953.0498
tel. 011.52.5511638675

Spanish Office
BioHorizons Spain
Calle Oruro, 9
28016 Madrid,
Spain

tel: +34.91.713.10.84
fax: +34.91.355.83.75

BioHorizons Camlog UK & Ireland
Reflex
Cain Road
Bracknell
Berkshire RG12 1HL
United Kingdom

tel: +44 (0)1344 752560

MinerOss Cancellous

MinerOss Cancellous

MinerOss Cancellous is a mineralized allograft cancellous bone particle. The osteoconductive properties along with the fast remodeling time allow for rapid revascularization and predictable results.1 MinerOss Cancellous provides ideal handling characteristics for regeneration procedures of all sizes.

MinerOss Cancellous

applications include

  • ridge and sinus augmentation
  • socket grafting
  • periodontal defects
  • grafting for implant placement
MinerOss Cancellous product

MinerOss Cancellous cases

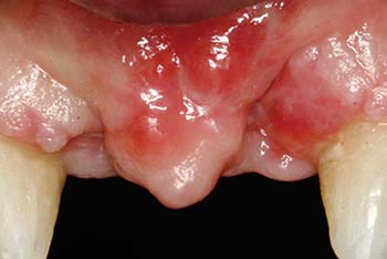
periodontal defect case

MinerOss Cancellous defect

maxillary defect

MinerOss Cancellous graft

MinerOss Cancellous graft

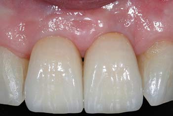
4 month post-op

4 month post-op

final prosthesis

final prosthesis

MinerOss Cancellous case images courtesy of Bach Le, DDS, MD, FICD, FACD

literature

  1. The efficacy of mineralized allograft cortical and cancellous chips in maxillary sinus augmentations.
    Nevins M, Janke U, Rasperini G, Schupbach P. Int J Periodontics Restorative Dent. 2014; 34:789-793.
Not available in all countries.