Products

Services

Education

Store

Contact

Company


Global Headquarters
2300 Riverchase Center
Birmingham, AL 35244
USA

tel: 888.246.8338
tel: 205.967.7880
fax: 205.870.0304

BioHorizons Canada
21 Amber Street, Unit #6
Markham, Ontario L3R 4Z3
Canada

tel: 866.468.8338
fax: 905.944.1894

BioHorizons Chile, S.A.
Av. Manquehue Norte 1337 Office 31
Vitacura
Santiago
Chile

tel: +56 (2) 23619519
fax: +56 (2) 361.9521

BioHorizons Italia Srl
Via Ettore Cristoni, 88
40033 Casalecchio di Reno (BO) Italy

numero verde +800.063.040
tel. +39.051.59.07.00
fax +39.051.57.61.06

BioHorizons México
Av. Insurgentes # 64 colonia Juarez
Torre B oficina 407
Delegación Cuauhtémoc
CP 06600 CDMX
México

tel. 800.953.0498
tel. 011.52.5511638675

Spanish Office
BioHorizons Spain
Calle Oruro, 9
28016 Madrid,
Spain

tel: +34.91.713.10.84
fax: +34.91.355.83.75

BioHorizons Camlog UK & Ireland
Reflex
Cain Road
Bracknell
Berkshire RG12 1HL
United Kingdom

tel: +44 (0)1344 752560

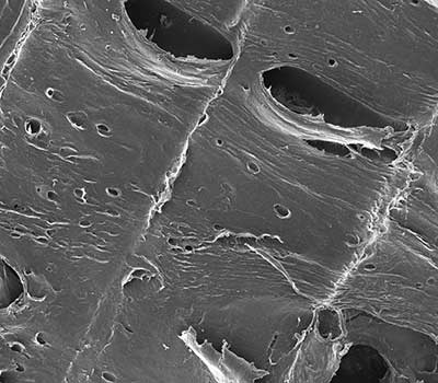
MinerOss® Flex

MinerOss Flex

cortical laminar bone

MinerOss Flex is a thin, demineralized allograft cortical sheet that is rigid when dry and flexible when hydrated. The structure allows for controlled handling while maintaining bone contour, with the healing mechanism of osteoconductive and osteoinductive remodeling.

  • Structural stability, flexible contour laminar bone structure allows for stability and screw retention while conforming to the bone surface.
  • Osteoconductive remodeling from rigid mineralized cortical bone allows for scaffolding during bone remolding.
  • Demineralization for osteoinductivity is verified by post-sterilization in-vivo lot testing.1

applications include2

  • Periodontal defects
  • Graft coverage
  • Extraction sockets
  • Ridge augmentation
  • Sinus augmentation
MinerOss Flex SEM

SEM at 100x

MinerOss Flex SEM

SEM at 500x

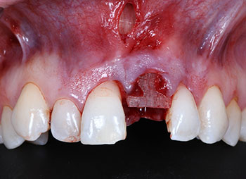
MinerOss Flex Cases

buccal wall reconstruction with socket grafting

MinerOss Flex case images courtesy of Dr. David Wong

buccal contour reconstruction in the esthetic zone

MinerOss Flex case images courtesy of Dr. Abdelsalam Elaskary

additional information

  1. Data on file at manufacturer
  2. Reference manufacturer’s Instructions For Use (IFU) package insert

Not all products are available in all countries.